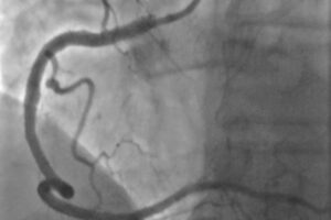
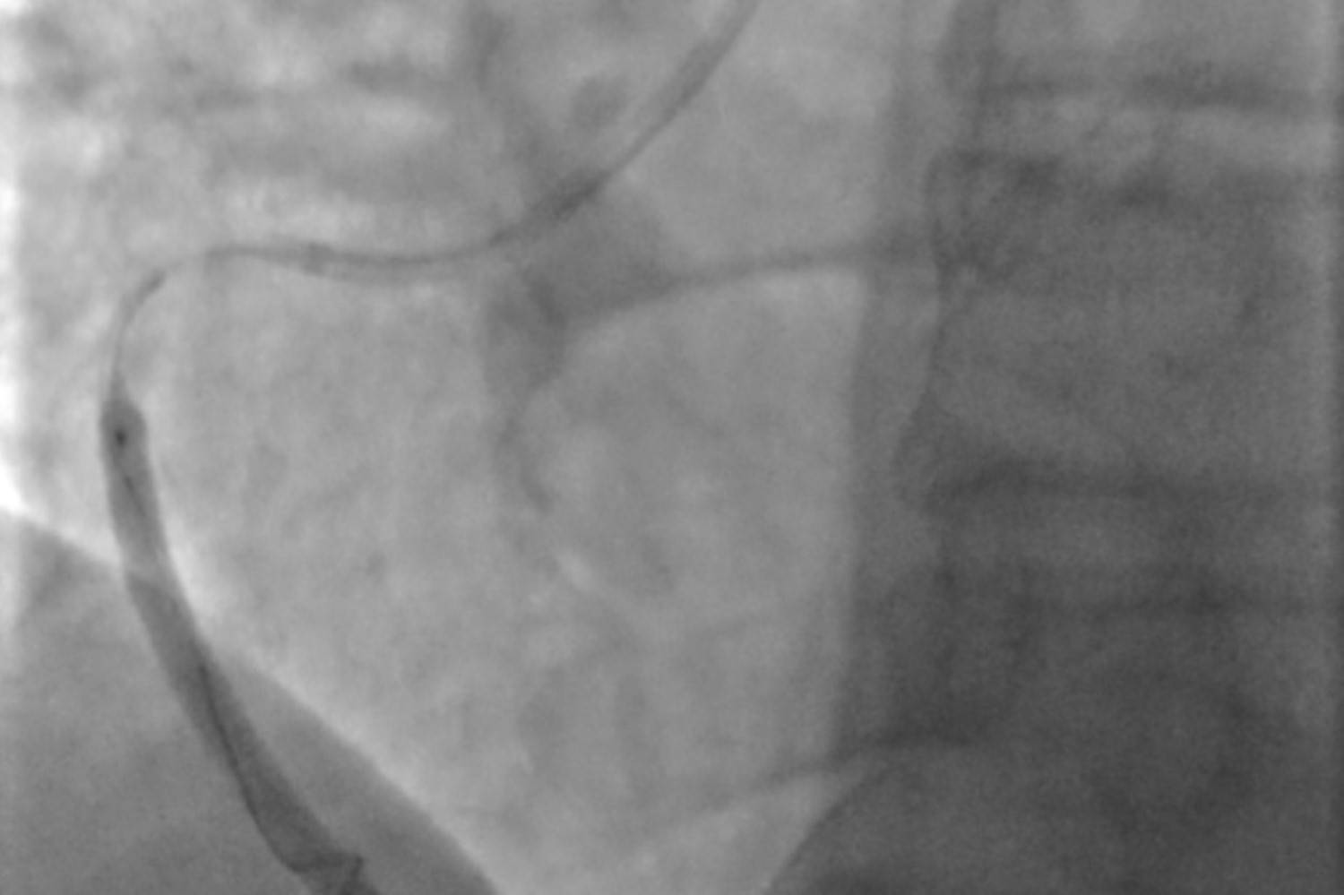
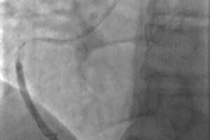
Rzadki, jak na warunki polskie, zabieg przeprowadzono w Szpitalu Specjalistycznym w Sandomierzu.
Jego specyfika polega na tym, że lekarze użyli minimalnej ilości kontrastu w trakcie angioplastyki wieńcowej, czyli naprawy zwężeń w tętnicach wieńcowych u pacjenta cierpiącego na chorobę wieńcową.
Mateusz Wiśniowski, starszy asystent w Pracowni Radiologii Zabiegowej powiedział, że procedury kardiologii inwazyjnej wymagają podania środka kontrastowego, co wiąże się ze zwiększonym ryzykiem uszkodzenia nerek, a jednym z rozwiązań, które pomaga ochronić nerki pacjenta jest wykonanie zabiegu techniką minimalnej objętości kontrastu, bądź nie używania środka kontrastowego w trakcie zabiegu.
– Zabiegi te wykonuje niewiele ośrodków. Pomagają one ochronić pacjentów przed uszkodzeniem funkcji nerek – dodał lekarz.
Michał Tarnowski, kierownik oddziału kardiologii w Szpitalu Specjalistycznym w Sandomierz zwrócił uwagę na to, że pacjent, u którego przeprowadzono ten zabieg, miał także liczne obciążenia w postaci zaostrzenia choroby nerek i niewydolności serca, dlatego był wcześniej odpowiednio przygotowany do tej procedury.
W skład zespołu lekarskiego, który wykonał zabieg wszedł również dr nauk medycznych Piotr Wańczura ze szpitala MSWiA w Rzeszowie.













